สังคม
"หมอมนูญ" เผย พบคนไทยปอดรั่ว 2 ข้าง ชี้ถูกทำลายโดยเชื้อไวรัสโควิด แนะฉีดวัคซีนลดการป่วยรุนแรง
16 ก.ย. 2564
866 views
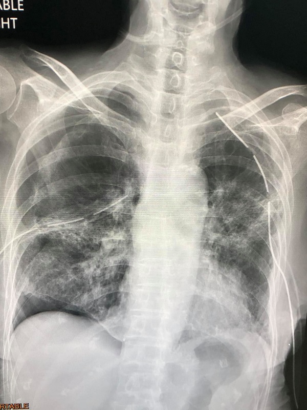
16 ก.ย. 64 นพ.มนูญ ลีเชวงวงศ์ แพทย์เฉพาะทางด้านโรคระบบการหายใจ โรงพยาบาลวิชัยยุทธ โพสต์ข้อความผ่านเฟซบุ๊ก หมอมนูญ ลีเชวงวงศ์ FC ระบุว่า มีรายงานในต่างประเทศปอดรั่วเองทั้ง 2 ข้าง หลังติดเชื้อไวรัสโควิด-19 พบน้อยมาก เกิดขึ้นเองไม่เกี่ยวข้องกับการใส่เครื่องช่วยหายใจ ล่าสุดพบคนไข้ไทยปอดรั่วเองทั้ง 2 ข้าง เป็นผลจากการที่เนื้อปอดถูกทำลายโดยเชื้อไวรัสโควิด-19

ผู้ป่วยหญิงไทยอายุ 77 ปี ไม่สูบบุหรี่ ปกติแข็งแรง ไม่มีปัญหาทางปอด ยังไม่ได้ฉีดวัคซีนป้องกันโรคโควิด วันที่ 8 กรกฎาคม 2564 มีไข้ ไอ เหนื่อย ปอดอักเสบทั้ง 2 ข้างจากโรคโควิด-19 ได้รับการรักษาด้วยยาและออกซิเจน ไม่ได้ใส่เครื่องช่วยหายใจ 22 วันหลังเริ่มป่วย
วันที่ 30 กรกฎาคมเหนื่อยมากขึ้นจากปอดข้างซ้ายรั่วเอง ต้องใส่ท่อระบายลม ถอดท่อระบายลมออก วันที่ 9 สิงหาคม ปอดอีกข้างรั่วเอง วันที่ 18 สิงหาคม ต้องใส่ท่อระบายลม วันที่ 23 สิงหาคม ปอดข้างซ้ายรั่วอีก ต้องใส่ท่อระบายลมอีกครั้ง วันที่ 28 สิงหาคม ถอดท่อระบายลมข้างซ้าย วันที่ 31 สิงหาคม ปอดข้างซ้ายรั่วอีก ต้องใส่ท่อระบายลมครั้งที่ 3 วันที่ 2 กันยายน ทำคอมพิวเตอร์สแกนปอดพบพังผืดทั่วปอดร่วมกับหลอดลมเล็กๆโป่งพอง

วันที่ 10 กันยายน ได้ทำการผ่าตัดปอดข้างขวาเพราะปอดขวาไม่ขยายตัวเต็มที่ ด้วยการส่องกล้องเข้าไปในช่องทรวงอกข้างขวา พบถุงลมพองโตที่ผิวของยอดปอดข้างขวาด้านบนและด้านล่าง ต้องตัดปอดเฉพาะส่วนนั้นและเย็บปิด ตัดเยื่อหุ้มปอดด้านขวา ใส่แป้ง Talc เข้าช่องปอดขวา และผ่านท่อระบายลมข้างซ้าย เพื่อให้เยื่อหุ้มปอดข้างขวาและซ้ายติดกัน และส่งชิ้นเนื้อปอดตรวจทางพยาธิวิทยาพบ เนื้อปอดถูกทำลาย มีทั้งอักเสบและพังผืดทั่วไป มีถุงลมพองในเนื้อปอด ขณะนี้ยังต้องใส่ท่อระบายลมทั้งสองข้าง

นพ.มนูญ ได้ระบุคำแนะนำในโพสต์อีกด้วยว่า คนที่ยังไม่ได้ไปฉีดวัคซีนเพราะกลัวผลข้างเคียงของวัคซีน ขอให้ดูผู้ป่วยรายนี้เป็นตัวอย่างที่ไม่ได้รับการฉีดวัคซีน ปอดถูกทำลายเสียหายอย่างมาก ปอดรั่ว 2 ข้าง ต้องนอนในโรงพยาบาลนานกว่า 2 เดือนแล้ว ขอให้ทุกคนให้รีบไปฉีดวัคซีน หลังฉีดถึงแม้จะติดเชื้อ ก็จะป่วยเหมือนเป็นหวัด เจ็บคอ คัดจมูก มีน้ำมูก จาม เชื้อไม่ลงปอด ไม่ป่วยหนักถึงขั้นเข้าโรงพยาบาลหรือเสียชีวิต
ขอบคุณภาพและข้อมูลจาก Facebook : หมอมนูญ ลีเชวงวงศ์ FC
แท็กที่เกี่ยวข้อง ไวรัสโควิด ,ปอดรั่ว